Skip to main content
Paddington Dentistry
A Great Dentist
Paddington Dentistry
A Great Dentist
Book Now
Like us on Facebook
Leave a Google Review
Instagram
(02) 9360 6245
Cosmetic & Family Dentistry
4/10 Elizabeth Street
Paddington NSW 2021
Cosmetic & General Dentistry
Menu
Call
Book Online
Map
Home
About
Our Team
Our Dental Technology
Paddington Dentistry Office Tour
Services
View All
Dental Invisalign Paddington
Dental Implants Paddington
Dental Veneers Paddington
Dental Crowns and Bridges Paddington
Preventative & General Dentistry Paddington
Sedation Dentistry Paddington
Cosmetic Dentistry Paddington
Root Canal Therapy Paddington
TMJ Treatment Paddington
Tooth Extraction Paddington
Periodontal (Gum) Treatment Paddington
Teeth Whitening Paddington
Cosmetic Injectables Paddington
Digital Dental X-Rays Paddington
Emergency Dentist Paddington
Smile Gallery
Specials
Patient Info
View Patient Info
Forms and Information
Terms & Conditions
Insurance & Payments
Blog
FAQs
View All
Dental Invisalign Paddington
Preventative & General Dentistry Paddington
Sedation Dentistry Paddington
Cosmetic Dentistry Paddington
Teeth Whitening Paddington
Digital Dental X-Rays Paddington
Contact
Paddington Dentistry
>
Smile Gallery
>
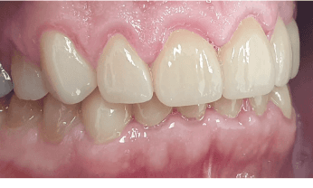
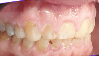
Full mouth reconstruction with crowns
Full mouth reconstruction with crowns
Return to Smile Gallery
Previous
Next
Related Services:
Cosmetic Dentistry Paddington
Dental Crowns and Bridges Paddington
Place mouse over picture to pause
Before
After
Before
After
Still need an appointment?
Contact Us
OK!
×
×
Contact Us Today
Give Us A Call
Paddington Dentistry -
(02) 9360 6245
Send Us an Email
Ready to Schedule an Appointment?
Book Online
Have Questions? Contact Us:
Required Field
Your Name:
Phone:
Email:
Are you a new patient?:
Are you a?
New Patient
Current Patient
How would you like us to contact you?
Please choose
Email
Call
How did you hear about us?
Please choose
I'm an existing patient
Google/Bing
Mailer
Word of mouth
Social media
Other
Who Referred You?:
Your Message:
This site is protected by reCAPTCHA and the Google
Privacy Policy
and
Terms of Service
apply.
Sending...
×
This Patient's Experience
Loading Testimonial...
Loading Case...