Smile Gallery
If you hide your smile or avoid showing it altogether, this can negatively impact your entire life. A great smile can make you and those around you feel happy. At Paddington Dentistry, our dentists use the artistry and science of cosmetic dentistry to give our patients something to smile about. See for yourself in our smile gallery.
*The images shown in our Smile Gallery are examples of dental treatments provided at our practice. Individual results will vary depending on each patient’s dental needs and circumstances.
*The images shown in our Smile Gallery are examples of dental treatments provided at our practice. Individual results will vary depending on each patient's dental needs and circumstances.
This case presents with only the upper arch treated with Invisalign treatment. By closing the gap and fixing the crowding creates a uniform full smile.
Overjet correction is important for several reasons related to both function and aesthetics. Here’s why it’s often necessary:
1. Functional improvement: An excessive overjet can impact how your teeth align when you bite down. If the overjet is too large, it can cause difficulties with biting and chewing.
2. Preventing Wear and Damage: A significant overjet can lead to uneven wear on your teeth.
3. Improving Aesthetics
4. Reducing Risk of Trauma: If the upper front teeth are too far out, they can be more vulnerable to trauma or injury
5. Supporting Long-Term Dental Health: Addressing an overjet can help prevent more serious dental problems down ...
Using veneers to correct attrition (the gradual wearing down of tooth enamel due to friction) can be a highly effective treatment option. Here's how and why veneers can be ...
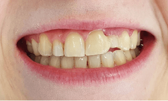
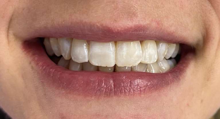
A single tooth veneer is a cosmetic dental treatment that involves placing a veneer on just one tooth to address issues such as discoloration, damage, or minor alignment problems. For this case, the single veneer corrects the discoloration and enhances the aesthetics (shape) of the smile. After correction, the smile appears more uniform and full.