Paddington Dentistry
A Great Dentist

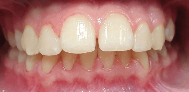
Smile Gallery: Invisalign

If you hide your smile or avoid showing it altogether, this can negatively impact your entire life. A great smile can make you and those around you feel happy. At Paddington Dentistry, our dentists use the artistry and science of cosmetic dentistry to give our patients something to smile about. See for yourself in our smile gallery. 

*The images shown in our Smile Gallery are examples of dental treatments provided at our practice. Individual results will vary depending on each patient’s dental needs and circumstances.

Ready to book an appointment?
Any surgical or invasive procedure carries risks, and we recommend seeking a second opinion from an appropriately qualified health practitioner before proceeding.